Пневмоторакс
и делаем скидки до 30%
Начните экономить прямо сейчас!
Определение болезни
При пневмотораксе воздух проникает в герметичное пространство вокруг лёгкого — плевральную полость. Это приводит к сдавливанию дыхательного органа, из-за чего он не может полностью расправиться при вдохе. В результате нарушается дыхание, а в тяжёлых случаях может возникнуть угроза для жизни.

При пневмотораксе баланс давлений между плевральной полостью и лёгким нарушается — и оно опадает, как сдувшийся шарик
Пневмоторакс бывает нескольких типов: спонтанный (первичный), вторичный, травматический и напряжённый — наиболее опасный из всех.
При напряжённом пневмотораксе или сильной одышке требуется срочная медицинская помощь.
Причины заболевания
Спонтанный (первичный) пневмоторакс происходит это из-за того, что в ткани лёгкого образуются воздушные полости — буллы, при спонтанном разрыве которых воздух выходит в плевральную полость. Они могут быть врождёнными или образоваться из-за курения, хронических заболеваний лёгких, таких как ХОБЛ ХОБЛ (хроническая обструктивная болезнь лёгких)Прогрессирующее заболевание, при котором нарушается проходимость дыхательных путей из-за хронического воспаления. или эмфизема Эмфизема лёгкихХроническое заболевание, при котором разрушаются стенки лёгочных альвеол (воздушных пузырьков) и лёгкие теряют эластичность. .
Первичный пневмоторакс чаще всего случается у молодых, высоких и худых мужчин: это связано с вытянутой формой лёгких и более сильным натяжением их оболочки — плевры.
Вторичный пневмоторакс появляется у людей, у которых уже есть проблемы с лёгкими: туберкулёз, воспаление, муковисцидоз или другие серьёзные заболевания. В таких случаях пневмоторакс протекает тяжелее, потому что дыхательный орган уже ослаблен болезнью.
Травматический пневмоторакс возникает после механических повреждений грудной клетки. Он может случиться при переломе рёбер, ножевых или огнестрельных ранениях, а также после некоторых медицинских процедур, например когда делают укол в области лёгкого или ставят катетер в сосуд возле него. В таких случаях воздух попадает в плевральную полость из-за повреждения самого лёгкого или грудной стенки.
Напряжённый пневмоторакс — самый опасный вид заболевания, когда воздух попадает в грудную полость и нарушает работу не только лёгких, но и сердца, создавая избыточное давление. В результате лёгкое сжимается, сердце и сосуды смещаются, что может привести к жизнеугрожающему состоянию. Без срочной медицинской помощи это может привести к остановке дыхания. Распознать состояние можно по резкой нехватке воздуха, посинению кожи, набуханию вен на шее и резкому падению давления.
Симптомы пневмоторакса
Главный симптом — внезапная острая боль в груди, которая может отдавать в плечо или спину. Боль усиливается при глубоком вдохе или кашле. Дыхание становится частым и поверхностным, появляется одышка даже в состоянии покоя. Кроме того, может появиться сухой рефлекторный кашель и возникнуть чувство нехватки воздуха, особенно в положении лёжа.
Пневмоторакс начинается резко — острая боль возникает при нагрузке или в покое. В отличие от мышечной, эта боль не ослабевает и без лечения усиливается.

При пневмотораксе кожа губ и кончиков пальцев может приобрести синеватый оттенок из-за нехватки кислорода
При небольших пневмотораксах, когда опадает менее 15% объёма лёгкого, симптомы могут быть менее выраженными. Пациенты отмечают лишь незначительный дискомфорт в груди, одышку при физической нагрузке и субъективное ощущение неполноценного вдоха. Однако даже такие малозаметные симптомы требуют внимания, так как при определённых условиях (физическая активность, перепады атмосферного давления во время авиаперелётов или дайвинга) состояние может резко ухудшиться.
Классификация и стадии развития пневмоторакса
Пневмоторакс классифицируют по нескольким критериям.
По происхождению он бывает спонтанным (первичным или вторичным) и травматическим. По механизму развития выделяют закрытый пневмоторакс, когда воздух попадает в плевральную полость, но не выходит обратно, и открытый, если есть сообщение с внешней средой.
Наиболее опасен напряжённый пневмоторакс — состояние, возможное при пневмотораксе любого типа, при котором воздух непрерывно поступает и накапливается под давлением, деформируя лёгкое и смещая сердце.
По степени коллапса лёгкого пневмоторакс делят на малый (когда лёгкое опало менее чем на треть), средний (до половины объёма) и большой (более половины). Тотальный пневмоторакс означает полное опадение лёгкого.
Осложнения пневмоторакса
Если пневмоторакс не лечить, могут возникнуть опасные осложнения.
Напряжённый пневмоторакс — одно из самых грозных последствий. При этом состоянии воздух активно поступает в плевральную полость по принципу одностороннего клапана и не может выйти из неё. Воздуха скапливается так много, что лёгкое сжимается, а сердце и сосуды смещаются в сторону. Человек начинает задыхаться — падает давление, учащается пульс, синеет кожа. Без срочной помощи возможна потеря сознания и даже остановка сердца.
К другим осложнениям относятся гемопневмоторакс и пиопневмоторакс.
Гемопневмоторакс проявляется скоплением в груди и воздуха, и крови. Это случается при повреждении сосудов, которое возможно при травме или разрыве лёгкого. Кровотечение опасно и требует срочной операции.
Пиопневмоторакс возникает, если к состоянию опадения лёгкого присоединяется инфекция и в плевральной полости образуется гной. Такое бывает при пневмотораксе на фоне болезней лёгких. Состояние резко ухудшается: повышается температура и появляется сильная слабость.
Длительное присутствие воздуха в плевральной полости нередко приводит к развитию плеврита — воспалению тонкой оболочки вокруг лёгких.
Осложнения пневмоторакса:
- дыхательная недостаточность — из-за коллапса лёгкого организм не получает достаточно кислорода;
- скопление крови или гноя в плевральной полости;
- сердечно-сосудистые нарушения — при пневмотораксе скопившийся воздух начинает давить на сердце и крупные сосуды;
- плеврит — воспаление плевры (тонкой защитной оболочки лёгких);
- рецидивы — у 30–50% пациентов пневмоторакс повторяется в течение 1–2 лет.
Диагностика пневмоторакса
При подозрении на пневмоторакс врач сначала осматривает пациента, прослушивает лёгкие и проверяет звук при лёгких ударах пальцами о грудную клетку. Врач может обнаружить два ключевых признака: ослабленное дыхание и характерный барабанный звук при простукивании — как если постучать пальцами по надутой щеке.
Следующий шаг — инструментальные методы диагностики. Врач может отправить пациента на рентген грудной клетки. В сомнительных случаях снимок делают на выдохе, так как пневмоторакс становится более заметным. Компьютерная томография (КТ) даёт более точную информацию о состоянии лёгких, наличии булл (патологических воздушных полостей) или других патологий.

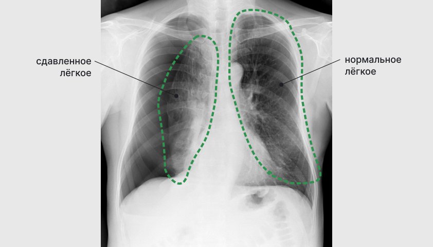
Рентген грудной клетки в прямой и боковой проекции позволяет увидеть скопление воздуха и степень коллапса лёгкого
Не менее важна лабораторная диагностика. Она включает общий и биохимический анализ крови, анализ её газового состава для оценки уровня кислорода и углекислого газа.
Лечение пневмоторакса
Лечение зависит от степени выраженности пневмоторакса и состояния пациента.
При небольшом пневмотораксе без выраженных симптомов врач может выбрать наблюдение, так как воздух в некоторых случаях рассасывается самостоятельно.
Однако если пневмоторакс большой или вызывает одышку, воздух нужно срочно удалить из плевральной полости. Делают это хирургически — с помощью пункции или дренирования под местной анестезией. Дренаж оставляют на несколько дней, пока лёгкое не расправится полностью.
Под местной анестезией в грудную клетку вводят иглу или дренажную трубку, чтобы выпустить воздух
Второй этап лечения направлен на предотвращение рецидивов. Если пневмоторакс повторяется или есть большие буллы, может потребоваться операция — видеоторакоскопия (VATS). Это малоинвазивный метод, при котором через небольшие разрезы удаляют изменённые участки лёгкого и проводят плевродез (склеивание листков плевры для предотвращения скопления воздуха).
Прогноз
Если пневмоторакс вовремя выявить и правильно лечить, в большинстве случаев всё заканчивается хорошо — прогноз благоприятный. Особенно это касается первичного пневмоторакса, который сам по себе редко опасен для жизни. Однако у 30–50% пациентов он может повториться, но после операции эта вероятность снижается.
Сложнее дело обстоит, когда пневмоторакс возникает на фоне других болезней лёгких — как при ХОБЛ или эмфиземе. В таких случаях лечение требуется более серьёзное и длительное, а прогноз во многом зависит от того, насколько сильно повреждён дыхательный орган.
Профилактика пневмоторакса
Чтобы снизить риск пневмоторакса, в первую очередь нужно бросить курить — это один из основных провоцирующих факторов.
Людям с хроническими заболеваниями лёгких важно соблюдать рекомендации врачей и избегать резких перепадов давления, например при дайвинге или полётах на самолёте.
После перенесённого пневмоторакса следует регулярно проходить обследования, чтобы вовремя выявить возможные рецидивы.
Источники
- Gilday C., Odunayo A., Hespel A. M. Spontaneous pneumothorax: pathophysiology, clinical presentation and diagnosis // Topics in Companion Animal Medicine. 2021. Vol. 45. P. 100563. doi:10.1016/j.tcam.2021.100563
- Walker S., Hallifax R., Ricciardi S., et al. Joint ERS/EACTS/ESTS clinical practice guidelines on adults with spontaneous pneumothorax // European Respiratory Journal. 2024. Vol. 63(5). P. 2300797. doi:10.1183/13993003.00797-2023
Частые вопросы
врач-эксперт