Красный плоский лишай
Красный плоский лишай: общие сведения
Красный плоский лишай (КПЛ) — это хроническое кожное заболевание, при котором появляется зудящая сыпь.
Части тела, которые может поражать КПЛ:
- кожа;
- слизистая оболочка полости рта;
- кожа головы в зоне роста волос;
- реже — ногти, область половых органов, другие слизистые оболочки (например, желудочно-кишечного тракта или заднего прохода).
При КПЛ иммунная система по ошибке атакует собственные клетки кожи, что приводит к воспалению и появлению характерных для болезни симптомов.
Красный плоский лишай — аутоиммунное заболевание, поэтому им нельзя заразиться от другого человека.
Заболевание встречается довольно редко — в России на 100 тыс. человек приходится всего 12,7 случая. КПЛ обычно обнаруживается у людей в возрасте 30–60 лет, чаще у женщин. На детей приходится всего 5% от всех случаев КПЛ.
и делаем скидки до 30%
Начните экономить прямо сейчас!
Причины и механизм развития красного плоского лишая
Точные причины красного плоского лишая неизвестны. Однако считается, что это аутоиммунное заболевание — оно развивается, когда иммунная система принимает клетки организма за врагов и атакует их.
В случае с красным плоским лишаём виновником торжества служат клетки самой нижней части эпидермиса.

Нижний слой эпидермиса — базальный
По неясной причине клетки базального слоя кожи начинают вырабатывать неизвестное ещё науке вещество (антиген). Это запускает иммунный ответ, в ходе которого T-лимфоциты Т-лимфоцитыКлетки иммунной системы., играющие центральную роль в защите от вирусов, бактерий, токсинов и раковых клеток, активируются и перемещаются в дерму. В результате развивается воспаление.
Предполагается, что роль в такой иммунной реакции играет генетическая предрасположенность и некоторые триггерные факторы.
Факторы, которые могут провоцировать КПЛ:
- некоторые лекарства: бета-блокаторы, НПВП, ингибиторы АПФ;
- вирус гепатита C;
- стресс;
- контакт с определёнными материалами (например, стоматологическими).
Формы и симптомы красного плоского лишая
Проявления КПЛ зависят от формы и того, где находится поражение: на коже или слизистых оболочках.
Формы и симптомы на коже
При красном плоском лишае кожи чаще всего встречается 7 форм: типичная, гипертрофическая (или веррукозная), атрофическая, пигментная, пузырная, эрозивно-язвенная, фолликулярная.
Типичная форма
При типичной форме КПЛ на коже образуются мелкие узелки — папулы — диаметром 2–5 мм. Их очертания неровные, края приподняты над кожей, а центр вдавлен. Цвет сыпи розовато-красный, с фиолетовым или сиреневым отливом и восковидным блеском. На крупных папулах можно обнаружить белесоватый сетчатый рисунок, особенно если смазать их маслом. Сыпь зудит, но практически не шелушится.

Сыпь часто имеет угловатые, полигональные очертания
Характерный признак — склонность высыпаний к сгруппированному расположению, в результате чего образуются кольца, линии и цепочки из папул. Иногда узелки могут сливаться в бляшки с шероховатой сетчатой поверхностью.

Как правило, сыпь появляется на руках и ногах в местах сгиба, на туловище, половых органах, слизистой оболочке рта
В период обострения КПЛ новые узелки образуются в тех местах, где травмирована кожа.
Гипертрофическая форма
На коже образуются округлые или овальные бляшки диаметром 4–7 см и более. Они имеют бледный серовато-синий цвет с фиолетовым оттенком, бугристую поверхность со множеством углублений.
Гипертрофическая форма красного плоского лишая
По краям высыпаний могут быть узелки, как при типичной форме КПЛ.
Атрофическая форма
На коже образуются узелки, на месте которых потом возникают атрофические рубцы — участки истончённой кожи лилового и желтовато-бурого цвета. Они могут сливаться в синевато-бурые бляшки размером 1–3 см.
Чаще всего сыпь возникает на голове, туловище, в подмышечных впадинах и на половых органах.
Пигментная форма
Сыпь охватывает значительную площадь поверхности тела и состоит из множества бурых пятен, которые могут сливаться в более крупные.

Пигментная форма возникает остро — сыпь быстро покрывает кожу. Автор: Masryyy, CC BY-SA 4.0, via Wikimedia Commons
Одновременно могут наблюдаться также узелки на коже и слизистых оболочках полости рта.
Буллёзная форма
На бляшках, папулах или неповреждённой коже образуются пузыри разных размеров. Верхняя часть — покрышка — сначала напряжённая, но затем становится дряблой и морщинистой.
Содержимое пузырей прозрачное, может иметь желтоватый оттенок и примесь крови.
Эрозивно-язвенная форма
На коже и слизистых оболочках образуются повреждения (эрозии) диаметром 1–5 см и более с неровными краями.
В редких случаях возникают язвы: они располагаются на ногах и вызывают боль, особенно при ходьбе. Края язв плотные, розовато-синюшные, приподнятые над здоровой кожей.
Фолликулярная форма
На коже туловища и внутренних поверхностях рук и ног образуются остроконечные бугорки с плотными небольшими шипами.
Форма и симптомы на слизистых оболочках полости рта
Для красного плоского лишая губ и слизистой оболочки полости рта наиболее характерны 6 форм: типичная, гиперкератотическая, экссудативно-гиперемическая, эрозивно-язвенная, буллёзная, атипичная.
Проявления КПЛ чаще всего затрагивают область щёк, языка, губ, реже — дёсны, нёбо, область под языком.
Типичная форма
На слизистой оболочке полости рта образуются мелкие папулы серовато-белого цвета, не более 3 мм в диаметре. Сыпь может сливаться и формировать линии и узоры. В некоторых случаях наблюдаются выступающие бляшки, внешне напоминающие белые ороговевшие пластины. Чувство зуда или дискомфорта обычно отсутствует.

Узелки могут сливаться в линии, кружевные узоры. Автор: Ian Furst, CC BY-SA 4.0, via Wikimedia Commons
Гиперкератотическая форма
Типичная сыпь сочетается с участками сплошного ороговения или бугристыми разрастаниями на поверхности бляшек. При этом может ощущаться сухость во рту и боль при употреблении горячей еды и напитков.
Экссудативно-гиперемическая форма
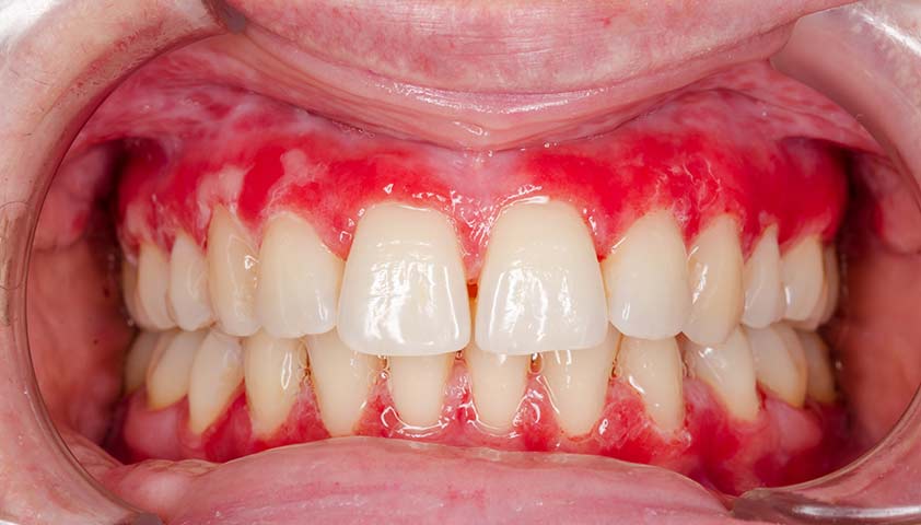
Слизистая оболочка рта покрасневшая и отёкшая, на ней видны серовато-белые папулы. При употреблении пищи, особенно острой и горячей, человек ощущает боль.

Экссудативно-гиперемическая форма на слизистой оболочке дёсен
Эрозивно-язвенная форма
Во рту образуются мелкие эрозии, реже — язвы. Они покрыты белым налётом, а при попытке его убрать начинается кровотечение. Эрозии и язвы сохраняются длительное время, при этом вокруг них на отёчных и покрасневших участках слизистой оболочки могут располагаться типичные для КПЛ папулы.
Буллёзная форма
На слизистой оболочке рта наблюдаются типичные папулы и беловато-перламутровые пузыри диаметром до 1–2 см. Последние имеют плотную покрышку и могут существовать от нескольких часов до 2 суток. После их вскрытия образуются быстро заживающие эрозии (ранки).
Атипичная форма
Проявления КПЛ затрагивают верхнюю губу: она отёчная, а её слизистая оболочка имеет симметричные участки покраснений.
Другие формы и симптомы красного плоского лишая
Чаще всего красный плоский лишай возникает на коже и слизистых оболочках рта. Однако КПЛ может также затрагивать ногти, слизистые оболочки пищевода, половых органов и область анального отверстия.
Редко встречающиеся симптомы красного плоского лишая:
- папулы и бляшки на коже головы — в зоне роста волос, проплешины;
- ногти грубые, истончённые, с бороздками, может быть изменённый цвет, трещины;
- у женщин — болезненные красные пятна на наружных половых органах (вульве);
- у мужчин — кольцевидные фиолетовые или белые пятна на половом члене;
- дискомфорт во время полового акта.

Если красный плоский лишай затрагивает ногти, на них могут появиться борозды и неровности. Автор: Dimitrios Malamos, CC BY 4.0, via Wikimedia Commons
Диагностика красного плоского лишая
Для диагностики красного плоского лишая, как правило, достаточно осмотра врача. Специалист обратит внимание на расположение, цвет и форму высыпаний, выраженность зуда.
Если есть сомнения, врач может назначить гистологическое исследование. Для этого берут крошечный фрагмент поражённых тканей и изучают его под микроскопом.
В некоторых случаях, например при выборе тактики лечения, может потребоваться оценить общее состояние здоровья пациента. Для этого назначают общий и биохимический анализ крови, общий анализ мочи.
Лечение красного плоского лишая
Специфической терапии красного плоского лишая нет. Как правило, болезнь проходит самостоятельно в течение нескольких месяцев или лет. При этом врач может назначить лечение, направленное на облегчение симптомов и улучшение качества жизни пациента.
Дополнительно в период обострения КПЛ пациентам следует ограничить физические и эмоциональные нагрузки. Также не рекомендуется есть солёные, острые, копчёные и жареные блюда. При сильных поражениях слизистой оболочки рта нужно избегать грубой и раздражающей пищи.
Медикаментозное лечение
В первую очередь при КПЛ назначают кремы и мази с глюкокортикоидами, которые можно наносить на поражённые участки. Они эффективны при незначительных высыпаниях на небольших участках.
Если использование наружных средств не даёт ожидаемого эффекта либо сыпь занимает значительную площадь поверхности тела, применяют системные глюкокортикоиды в виде таблеток или инъекций.
При зуде назначают антигистаминные препараты.
Для лечения КПЛ слизистой оболочки рта также используют ретиноиды (если не помогают глюкокортикоиды), ранозаживляющие и обезболивающие средства: алоэ, ромашку, лидокаин и т. п.
В случае неэффективности проводимой терапии назначают ацитретин или циклоспорин.
Немедикаментозное лечение
Если поражение кожи незначительное, для лечения КПЛ может применяться фототерапия — ультрафиолетовое излучение спектра B (UVB) специальными лампами.
Если затронуты значительные участки кожи, используют ПУВА-терапию. Она сочетает воздействие ультрафиолетового излучения спектра A (UVA) с применением специальных препаратов, повышающих чувствительность клеток к такому излучению.
Прогноз и профилактика красного плоского лишая
Предотвратить красный плоский лишай нельзя, так как он возникает спонтанно, без видимых причин.
Прогноз КПЛ, как правило, благоприятный. Болезнь может пройти и без лечения, однако терапия помогает быстрее избавиться от симптомов и достичь хорошего самочувствия.
В большинстве случаев КПЛ кожи проходит спонтанно в течение 1–2 лет, а КПЛ слизистых оболочек полости рта — за 5 лет.
При КПЛ кожи болезнь проходит в течение 1 года у 64–68% пациентов.
Красный плоский лишай слизистых оболочек имеет менее благоприятный прогноз, так как очень редко проходит самостоятельно — всего в 2,8–6,5% случаев. При этом болезнь может быть одним из факторов риска рака, как правило ротовой полости.
Источники
- Красный плоский лишай : клинические рекомендации. РФ, 2013–2017.
- Федотова К. Ю., Жукова О. В., Круглова Л. С. и др. Красный плоский лишай: этиология, патогенез, клинические формы, гистологическая картина и основные принципы лечения // Клиническая дерматология и венерология. 2014. №12(6). С. 9–20.
- Юсупова Л. А., Хайретдинова К. Ф. Современный взгляд на проблему красного плоского лишая // Лечащий врач. 2015. №8. С. 23–28.
Частые вопросы
На слизистых оболочках рта могут появляться бледные мелкие узелки (папулы) или пятна, сливающиеся в линии, отёк, покраснение окружающих тканей.
врач-эксперт